Gehirnforschung und Lernen

Gehirnforschung und Lernen

6. Juni 2025

Gehirnforschung hat in den letzten Jahren enorme Fortschritte gemacht. Sie hilft zu verstehen, wie Kinder und Erwachsene lernen und wie man das Lernen gezielt fördern kann. Moderne Neuroscience gilt heute als Leitwissenschaft in der Bildungsforschung – auf Konferenzen zu „Lernen und Bildung“ ist Gehirnforschung allgegenwärtig.

Dabei wird deutlich: Das Gehirn ist kein statischer Computer, sondern ein höchst dynamisches Organ. Bei jeder neuen Erfahrung verändern sich die Verknüpfungen zwischen den Nervenzellen. Für Eltern und Lehrkräfte bedeutet das: Wenn man weiß, wie das Gehirn Informationen filtert und speichert, können Lerninhalte und -bedingungen besser angepasst werden.

Zum Beispiel erstaunt es nicht mehr, dass Kinder in wenigen Jahren eine oder mehrere Sprachen nahezu fehlerfrei lernen können – während viele Erwachsene nur mühselig Vokabeln pauken und nie das gleiche Niveau erreichen. Die neurowissenschaftlichen Erkenntnisse zeigen, dass kindliche Gehirne besonders plastisch und aufnahmefähig sind. Dieses Wissen kann den Unterricht alltagstauglicher machen: Es unterstreicht, wie wichtig Motivation, Emotionen und eine spielerische Lernatmosphäre sind.

Wie läuft Gehirnforschung ab?

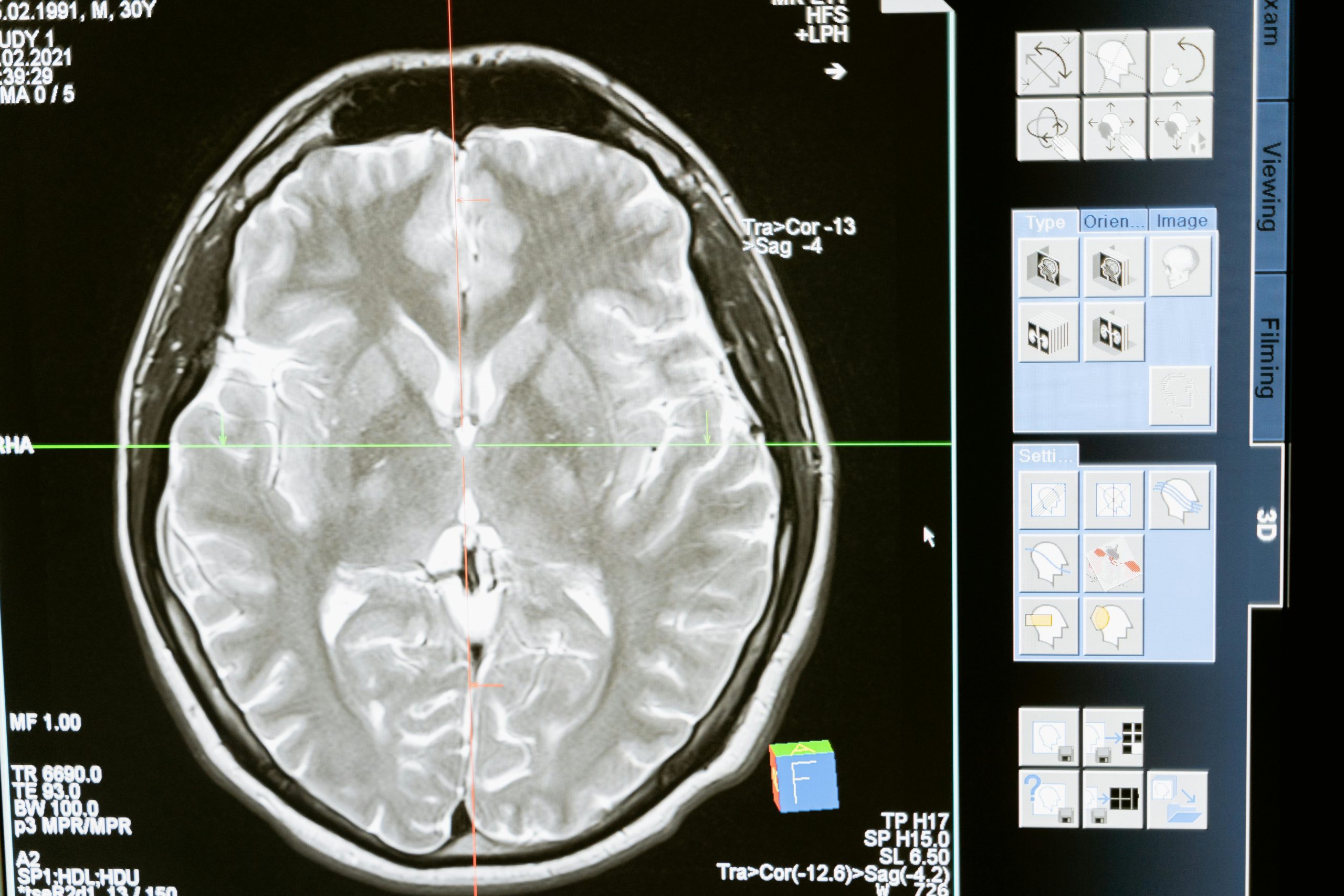
Gehirnforscher nutzen verschiedene Methoden, um im lebenden Menschen Einsicht in die Hirnaktivität zu gewinnen. Die wichtigsten Verfahren sind bildgebende Neuroimaging-Methoden und das EEG.

Lernen verändert das Gehirn
  • MRT (Magnetresonanztomografie): Mit dem MRT können Forscher die Struktur und teilweise auch die Aktivität des Gehirns messen. Normale MRT-Bilder zeigen z. B. das Volumen von Hirnarealen oder bestimmen, ob die Anatomie normal ist. In der Lernforschung verwendet man vor allem das fMRT (funktionelle MRT). Dabei bleibt die Person in einer Röhre liegen und löst Aufgaben, während das Gerät Blutfluss und Sauerstoffverbrauch misst. Aktive Hirnregionen „leuchten“ dadurch in den Bildern auf. 
  • PET (Positronen-Emissions-Tomografie): Hierfür injiziert man eine schwach radioaktive Substanz, die sich im Blut verteilt und vor allem in besonders aktiven Hirnarealen anreichert. Die Messung zeigt dann eine Art „Karte“ der Gehirnaktivität. Ein Vorteil ist, dass bestimmte Stoffwechselvorgänge sichtbar werden. Allerdings ist PET aufwendiger und kommt seltener in der Lernforschung zum Einsatz.
  • EEG (Elektroenzephalographie): Das EEG misst elektrische Hirnströme über aufgeklebte Elektroden auf der Kopfhaut. Es hat eine sehr hohe zeitliche Auflösung, so dass man nahezu in Echtzeit verfolgen kann, wie Neuronen auf Reize reagieren. Allerdings ist die räumliche Auflösung schlechter – man sieht zwar Wellenmuster, kann aber nur grob sagen, aus welchem Hirnareal sie stammen. In Lern Experimenten ist das EEG deshalb vor allem nützlich, um z. B. Aufmerksamkeitsschwankungen, Gehirn-Rhythmen oder Gedächtnisprozesse mit hoher Genauigkeit zu erfassen.

Diese Forschungsmethoden haben bereits viele Überraschungen geliefert. So fanden Hirnforscher heraus, dass beim Erlernen eines Instruments wie Geige bestimmte Hirnareale wachsen oder stärker verknüpft werden. Eine Grundaussage lautet: Lernen verändert das Gehirn – und mit diesen Methoden können Wissenschaftler diese Veränderungen sichtbar machen.

Wo und wie wird Wissen im Gehirn gespeichert?

Das Gehirn speichert Informationen nicht wie eine Festplatte. Es baut komplexe Netzwerke aus Neuronen (Nervenzellen) auf und verändert ständig deren Verbindungen. Jede Sinneswahrnehmung oder Gelerntes verändert das Gehirn: Es ändern sich die Verschaltungen der Nervenzellen. Lerninhalte werden also verteilt in vielen Gehirnbereichen abgespeichert – es gibt nicht nur einen „Speicherort“.

Synapse im Umbau: Diese Grafik zeigt symbolisch, wie „lernende“ Bauarbeiter eine Synapse umgestalten. Beim Lernen werden die Verbindungen zwischen Nervenzellen gezielt verstärkt oder geschwächt.

Wird eine Information oft gebraucht, „festigen“ sich die beteiligten Synapsen . Werden Verbindungen selten genutzt, werden sie zurückgebaut. -> Dieser Umbau bedeutet: Lernen heißt, das neuronale Netzwerk umzubauen. 

Beim Merken sind unterschiedliche Gedächtnissysteme aktiv. Man unterscheidet grob drei Speicherstufen:

  • Ultrakurzzeit- bzw. sensorisches Gedächtnis: Alle Sinneseindrücke werden zunächst nur ganz kurz vorgehalten.
  • Kurzzeit-/Arbeitsgedächtnis: Hier werden Informationen einige Minuten lang aktiv verarbeitet (etwa 20 Minuten oder weniger). Im Arbeitsgedächtnis ordnet das Gehirn eingehende Inhalte, verknüpft sie mit bereits Bekannten und übt sie ein. Konzentration ist dabei entscheidend: Wird man abgelenkt, gehen Informationen leicht verloren. Eine gute Lernumgebung ohne Multitasking hilft daher sehr.
„lernende“ Bauarbeiter
  • Langzeitgedächtnis: Wenn Lernstoff dauerhaft behalten werden soll, gelangt er ins Langzeitgedächtnis. Dieses fasst mehrere Untertypen zusammen:
    • Prozedurales Gedächtnis: Es speichert Fertigkeiten und Abläufe. Einmal gelerntes Fahrradfahren, Schwimmen oder Klavierspielen kann man später fast automatisch abrufen.
    • Perzeptuelles Gedächtnis: Es erkennt Muster und Objekte wieder. So erkennt man z. B. ein Gesicht, auch wenn sich Frisur oder Brille geändert haben.
    • Semantisches Gedächtnis: Hier wird Faktenwissen gespeichert – Wortbedeutungen, Formeln, Allgemeinwissen etc..
    • Episodisches Gedächtnis: Es bewahrt persönliche Erlebnisse und Erfahrungen. Hier liegen „autobiographische“ Erinnerungen, wie der erste Schultag oder Ferienerlebnisse..

Besonders emotionale Inhalte bleiben auffällig gut haften. Mit jedem Reiz aktiviert das Gehirn ein ganzes Netzwerk von Neuronen. Ist diese Erinnerung mit Gefühlen (Freude, Aufregung, Stolz, aber auch Angst) verknüpft, speichert man sie dauerhaft. 

Wie laufen Lernprozesse im Gehirn ab?

Lernen ist ein aktiver Prozess der Informationsverarbeitung: Das Gehirn muss wahrgenommene Inhalte filtern, bearbeiten und schließlich speichern. Dabei spielen Konzentration, Wiederholung und Motivation eine große Rolle.

Lernprozesse im Gehirn
  • Reizfilterung und Fokus: Jedes Gehirn wird ständig von Sinneseindrücken bombardiert. Deshalb filtert es wichtige von unwichtigen Informationen heraus. Nur das, worauf wir uns fokussieren, gelangt ins Kurzzeitgedächtnis. -> Beim Lernen sollte man Störquellen minimieren und sich auf den Lernstoff konzentrieren. Studien zeigen, dass Multitasking das Lernen stark behindert. 
  • Verarbeitung im Arbeitsgedächtnis: Im Kurzzeitgedächtnis oder Arbeitsgedächtnis ordnet das Gehirn die neuen Informationen, verknüpft sie mit Bekanntem und versucht, sie einzuprägen. 
  • Wiederholung: Damit Neues langfristig im Langzeitgedächtnis haften bleibt, ist Wiederholung unerlässlich. Besonders effektiv ist dabei das spaced learning: Lernstoff in kleinen Portionen über mehrere Tage verteilt wiederholen. Zum Beispiel hilft es, zwischen Vokabel-Lernphasen kurze Pausen oder sogar Schlafphasen einzulegen, damit das Gehirn das Gelernte verarbeiten kann. 
  • Motivation und Belohnung: Das Gehirn lernt leichter, wenn es einen Grund hat – wenn eine Information als relevant oder belohnend wahrgenommen wird. Studien zeigen, dass Aktivitäten, die Lust oder Erfolgserlebnisse bringen, die Ausschüttung von Neurotransmittern wie Dopamin aktivieren (das sogenannte Belohnungssystem). Wenn ein Kind also Lernerfolge erlebt und sich verstanden fühlt, ist es motiviert weiterzulernen.

Zusammengefasst: Effektives Lernen heißt, das neue Wissen bewusst anzubieten, ausreichend Pausen und Schlaf einzuplanen, Reize zu strukturieren und positive Anreize zu setzen. So gelangt Gelerntes möglichst sicher ins Langzeitgedächtnis.

Unterschiede zwischen dem Gehirn von Kindern und Erwachsenen

Kinderhirne sind enorm plastisch und befinden sich noch im Umbau. Forschende wissen, dass das menschliche Gehirn erst im jungen Erwachsenenalter voll ausgereift ist – ungefähr bis Mitte 20. In den ersten Lebensjahren wachsen unzählige Synapsen, von denen später gezielt wieder etwa die Hälfte zurückgebaut wird. 

Beispielsweise nimmt ein Kind im Kindergartenalter passiv die Muster von Sprache oder Bewegungsabläufen auf, ohne dass eine bewusste Anstrengung erforderlich ist. Alles, was sich häufig wiederholt (z. B. Buchstaben-Laute oder soziale Gewohnheiten), verstärkt sich, unwichtige Reize werden „ausgeschnitten“. 

Erwachsene haben dagegen ein schon ausdifferenziertes Netzwerk im Gehirn: Wichtige Verbindungen sind gefestigt, Unnötiges wurde weggeschnitten. Das bedeutet, Erwachsene müssen Neues gezielter üben, um es ins vorhandene Netz einzubetten. Zwar können auch Erwachsene immer noch lernen – etwa eine neue Sprache oder ein Instrument – aber sie tun sich in der Regel schwerer, weil die neuronalen Mechanismen anders arbeiten. 

Kurz gesagt: Kinderhirne lernen flexibler und schneller in bestimmten Bereichen, weil ihre Netzwerke gerade entstehen und sehr formbar sind. Dieses Potenzial sinkt mit dem Alter. Daher lohnt es sich, Grundsteine in frühen Jahren zu legen (z. B. Spracherwerb, Motorik, Sozialverhalten) und nicht zu lange zu warten. Andererseits haben Erwachsene den Vorteil, schon viel Wissen und Erfahrung parat zu haben – neue Informationen können also sofort mit Bekanntem verknüpft werden. Deshalb hilft es älteren Lernenden oft, das große Ganze und Zusammenhänge zu sehen.

Wie Kinder lernen können: Förderung durch Alltag und Umfeld

Es gibt viele Wege, das Lernen von Kindern durch einfache Maßnahmen zu fördern:

  • Ausreichend Bewegung: Bewegung versorgt das Gehirn mit Sauerstoff und regt Stoffwechselvorgänge an. Kinder und auch Erwachsene merken sich Lerninhalte besser, wenn sie körperlich aktiv sind – durch Gesten beim Vokabeln Lernen oder kleine Bewegungspausen.
  • Genügend Schlaf und Ruhepausen: Schlaf ist essentiell für die Gedächtniskonsolidierung. Im Schlaf „ordnet“ das Gehirn neue Informationen in die vorhandenen Strukturen ein und speichert sie ab.
  • Gesunde Ernährung: Das Gehirn braucht Energie und Bausteine für Neurotransmitter. Ausgewogene Kost – komplexe Kohlenhydrate, reichlich Obst/Gemüse, ausreichend Proteine und gesunde Fette (z. B. Omega-3-Fettsäuren aus Fisch oder Nüssen) – unterstützt die Konzentration und Lernfähigkeit.
Kinderhirne lernen flexibler
  • Angenehme Lernumgebung: Der Lernort sollte ruhig, aufgeräumt und gut beleuchtet sein. Ein ergonomischer Schreibtisch hilft, entspannt zu sitzen. Ablenkungen wie Fernseher oder Handy sollten während des Lernens ausbleiben.
  • Emotionale Unterstützung: Kinder lernen am besten, wenn sie sich sicher und verstanden fühlen. Eine entspannte Atmosphäre, in der Fehler erlaubt sind und Neugier belohnt wird, motiviert zum Lernen. Lob für Anstrengung und Fortschritte steigert das Selbstvertrauen und erzeugt positive Verknüpfungen im Gehirn.

Rolle der Nachhilfe: Gehirngerechtes Lernen umsetzen

Gehirngerechtes Lernen umsetzen

Nachhilfe beim Studentenring in Köln kann eine wertvolle Brücke zwischen Theorie und Praxis schaffen, weil sie individuelle Förderung ermöglicht. Unsere Nachhilfelehrer kennen die Prinzipien des gehirngerechten Lernens und setzen sie gezielt ein.

Auf Vertrauen und Verständnis setzen: Die Nachhilfelehrer des Studentenrings nehmen sich Zeit, alle Fragen des Schülers geduldig und verständlich zu beantworten. Eine stabile emotionale Bindung baut Ängste ab und fördert die Aufnahmebereitschaft. Ermutigung und geduldiges Eingehen auf Unsicherheiten geben dem Kind Halt.

 

Regeln durch Beispiele erfassen: Die Lehrkräfte vom Studentenring in Köln erklären neue Regeln und Konzepte nicht nur theoretisch, sondern anhand konkreter Beispiele. Wir zeigen oder lassen den Schüler Situationen durchspielen – das Gehirn speichert durch Anwendungsbeispiele leichter ab. Zum Beispiel können mathematische Regeln in der Praxis mit kleinen Alltagsaufgaben vertieft werden.

  • Schrittweise vorgehen, Reizüberflutung vermeiden: Die Nachhilfelehrer des Studentenrings achten darauf, dass sie den Stoff in kleinen, überschaubaren Schritten erklären. Das Gehirn kann nicht zu viele neue Informationen auf einmal aufnehmen. 
  • Altes mit Neuem verknüpfen: Bevor mit einem neuen Thema begonnen wird, werden bereits bekannte Grundlagen reaktiviert. Wir sprechen bekannte Informationen aus früheren Unterrichtseinheiten immer wieder an – so bildet das Gehirn stärkere Verbindungen zwischen Altem und Neuem.

Fazit: Wichtigste Erkenntnisse

Die Gehirnforschung zeigt, wie faszinierend und flexibel das Lernen ist – und wie dieses Potential für Kinder optimal genutzt werden kann.  Wissen über das Gehirn kann das Lernen praxisnah verbessern. Eltern, Lehrkräfte und Nachhilfelehrer sollten sich bewusst machen, dass Lernen immer ein biologischer Prozess ist. Wer das Gehirn als aktiven Partner begreift und die Lernbedingungen entsprechend gestaltet, kann Lernen deutlich effektiver machen.

Jetzt Lernfortschritte gezielt fördern
Individuelle Einzelnachhilfe – zuhause oder online.

 Jetzt Kontakt aufnehmen

Das meinen unsere Kunden:

Mathematik Nachhilfe

Sind total begeistert. Innerhalb kürzester Zeit wurden die Noten unseres Sohnes in Mathematik von 5 auf 2 verbessert! Hier nachlesen

Sehr gut!

Der Studentenring ist sehr gut. Mein Sohn konnte mit der Lehrerin zu Hause ganz individiuell lernen. Es ging auch keine Zeit wegen des Fahrtwegs verloren, da die Lehrerin zu uns nach Hause gekommen ist. Nachhilfe war in Englisch und Deutsch und beide Fächer konnten auf Note 3 stabilisiert werden, vorher Note 5 in Deutsch und Note 4 in Englisch. Ich war sehr zufrieden. Hier nachlesen

Mathenachhilfe

Sowohl fachlich als auch menschlich war die Nachhilfe das Beste, was unserem pubertierenden und sich orientierenden Sohn passieren konnte. Julian war höchst kompetent, vor allem aber auch im Umgang mit unserem jugendlichen Sohn einfühlsam, extrem zuverlässig und nicht zuletzt sehr "effektiv". Innerhalb von wenigen Monaten war unser Kind wieder auf dem aktuellen Stand, der ihm das selbständige und selbstsichere Arbeiten in der Schule wieder ermöglichte. Auch die Einbettung in das Organisatorische des Studentenrings, welche von hoher Verlässlichkeit geprägt war, (...) Hier nachlesen

C. H.

Wir sind sehr zufrieden

Bei uns könnte es nicht besser laufen . Wir schätzen die Zuverlässigkeit und Flexibilität unserer Nachhilfe sehr. Die Mathelehrerin und unsere Nachhilfestudentin haben sich am Anfang zusammen gesetzt und abgestimmt wie unserem Sohn am besten geholfen werden kann. Die Grundlagen die gefehlt haben konnten aufgebaut werden und so hat unser Sohn den Anschluss gefunden. Wir sind auf einem guten Weg. Hier nachlesen

Jonas Mama

Schnelle freundliche Hilfe

Das Team bemüht sich sehr schnell die passende Nachhilfe zu finden. Reibungsloser Ablauf. Die Vorauswahl der Nachhilfelehrer entspricht fast zu 99 % den gewünschten Kriterien. Hier nachlesen

Kompetente Nachhilfe

Das Preis-Leistungsverhältnis ist sehr gut und dank eines flexiblen "Nachhilfelehrers" wurde bisher immer sehr auf unsere persönlichen Bedürfnisse und Zeiten Rücksicht genommen.Hier wird keine Gruppennachhilfe wie bei sovielen anderen Instituten angeboten sondern jedes Kind erhält individuell Nachhilfe. Somit kann auf die Bedürfnisse des einzelnen Kindes eingegangen und die persönlichen Probleme im jeweiligen Fach erarbeitet werden und man füllt sich nicht als Nummer unter vielen. Wir würden den Studentenring auf jeden Fall weiterempfehlen.Hier nachlesen

Fam. Egetenmeyr

Sehr zufrieden, sehr zu empfehlen

Habe mit Studentenring sehr gute Erfahrung. Sie sind sehr bemüht um eine kompetente und passende Lehrkraft zu finden. Die Lehrkräfte sind sehr gut vorbereitet und sehr bemüht. Kann ich nur empfehlen! Hier nachlesen

Das klappt einfach gut

Wir sind voll zufrieden mit der Leistung des Studentenrings! Die Studenten, die uns bisher vermittelt wurden, waren zuverlässig und sehr engagiert. Die Abwicklung über den Studentenring verläuft reibungslos und unkompliziert. Es ist tatsächlich so, wie es die Anzeige verspricht! Hier nachlesen

Ausgezeichnet

Ich habe den Studentenring für ein Jahr genutzt und mich in dieser Zeit in Mathematik um zwei Noten verbessert. Der Studentenring war bezüglich eines Wechsels sehr kooperativ. Alles lief problemlos. Ich würde ihn jederzeit wieder nutzen und kann ihn nur empfehlen. Hier nachlesen

Sind sehr zufrieden

Mit der Nachhilfe für meinen Sohn war ich sehr zufrieden. Stunden konnten individuell vereinbart werden, je nach Lernbedarf. Da die Studentin zu uns nach Hause kam, war auch das Lernumfeld prima. Einzelunterricht ist meiner Meinung nach die einzig sinnvolle Methode für Nachhilfe. Als Eltern bekommt man somit auch mit, wer mein Kind unterrichtet und wie der Lernfortschritt ist. Die Studentin hat meinen Sohn ca. 1 1/2 Jahre bis zum erfolgreich bestandenen Abitur begleitet. Es war eine prima Zeit - jederzeit wieder bei Bedarf! Hier weiterlesen

Andrea G.

Nachhilfe in Bestleistung

Habe mich im ersten Schritt ganz bewußt aus zwei Gründen für den Studentenring entschieden: 1) Einzelnachhilfe, 2) Nachhilfelehrer kommt nach Hause. Im zweiten Schritt kann ich nun auch sagen, daß die Nachhilfe selbst hervorragend ist. Dass einst mal unge- liebte Fach Mathe ist nun eines seiner Lieblingsfächer. Bereits nach kurzer Zeit ... Hier nachlesen

Super Nachhilfe

Mein Sohn hat seine Note in Französisch innerhalb eines Jahres um 2 Noten verbessert. Er hatte nur einmal die Woche 1 Stunde Nachhilfe. Bin einfach nur begeistert. Hier nachlesen

Zuverlässig

Bin sehr zufrieden. Fairer Preis, super Kommunikation. Man kann sich darauf verlassen, das auch tatsächlich qualifizierte Personen die Kinder unterrichten. Und der Stress wird einem dadurch erspart sich jedesmal zu vergewissern zu müssen, ob alle Angaben auch der Wahrheit entsprechen. Ganz großes Glück, die Unterrichtsstunden finden auch zu Hause statt.Hier nachlesen

sehr zufrieden

Wir, das heißt wir Eltern und unser Sohn, sind mit dem Nachhilfe Lehrer in Englisch sehr zufrieden. Die Arbeitsatmosphäre ist entspannt und obwohl der Termin Freitag Nachmittag stattfindet, ist unser Sohn gerne dabei. Durch die Regelmäßigkeit haben wir weniger Diskussionen und Streß. Wir merken, dass dem Nachhilfelehrer auch persönlich am Fortschritt unseres Sohnes gelegen ist und gerade in dem Alter (unser Sohn ist 13 Jahre alt ) finden wir es motivierend, wenn auch außenstehende Personen positiv auf den Schüler einwirken. Hier nachlesen

positiv !!!

Steigerung um 2 Schulnoten

Die Nachhilfe war und ist für meinen Sohn ein echter Glückstreffer. Von einer 5- in Latein im Halbjahreszeugnis konnte er seine Leistung in diesem Halbjahr dank der Nachhilfe auf eine GUTE 3!!! verbessern, sodass er im Endzeugnis nicht nur die 6 abwenden, sondern auch in der Gesamtnote eine 4 erreichte. Und das, obwohl seine Lateinlehrerin .... Hier nachlesen

Studentenring

Sind super zufrieden, haben eine sehr nette Dame am Telefon gehabt, die für uns eine super Nachhilfe (Student) rausgesucht hat. Es ging alles super schnell. Unser Sohn lernt gerne mit ihm und er bekommt jetzt eine 4 statt eine 5 in Englisch auf dem Zeugnis. ... Hier nachlesen

Top Leistung – in jeder Hinsicht

Hallo, ich kann nur Positives berichten. Die Vermittlung der Nachhilfe war schnell, unkompliziert mit sehr freundlichem Service. Die Nachhilfe war super. Kurzfristige Termine, variable Unterrichtsdauer waren kein Problem. So engagiertes Personal wünscht man sich auch in anderen Bereichen. Mein Sohn fand wieder Interesse am Fach und das zeigte sich sowohl in den Noten als auch an der mündlichen Beteiligung. Es war eben nicht nur ein Lernen für die nächste Arbeit, sondern das Vermitteln des Verständnisses für die Materie. Super toll. Danke dafür. Ich würde jederzeit wieder die Hilfe des Studentenrings in Anspruch nehmen. Hier nachlesen

ERo

Nachhilfe in Mathematik

Wir sind super zufrieden mit allem. Dem organisatorischen Teil, die Betreuung und vor allem der motivierte Lehrer. Er kam nach Hause und hat unsere Tochter auch über what's app unterstützt. Vielen Dank. Dadurch konnte sie sich in Mathe um 3 Noten verbessern. Wir empfehlen Sie gern weiter. Hier nachlesen

Reiner